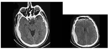
CT(计算机断层扫描)相较于传统的X线检查具有以下优点:
1. 更高的图像分辨率:CT可以提供横断面图像,图像分辨率高,可以清晰地显示组织结构和器官的细节,有助于更准确地诊断疾病。
2. 多平面重建:CT数据可以通过计算机处理,生成冠状面、矢状面和任意角度的图像,为医生提供多角度观察病变的机会。
3. 三维成像:CT可以生成三维图像,有助于更直观地理解病变的位置、大小和形态。
4. 更广泛的适用范围:CT可以用于检查身体各个部位的病变,包括头部、胸部、腹部、脊柱等,应用范围广泛。
5. 减少辐射剂量:尽管CT检查的辐射剂量相对较高,但现代CT设备采用了多种技术来降低辐射剂量,使其更安全。
6. 快速检查:CT检查速度快,通常只需几分钟即可完成,适合需要快速诊断的情况。
7. 辅助治疗:CT图像可以用于指导手术、放疗等治疗过程,提高治疗效果。
8. 动态增强扫描:CT可以进行动态增强扫描,通过注射对比剂来观察病变的血流情况,有助于更准确地诊断疾病。
9. 低对比度分辨率:CT对低对比度的组织结构(如软组织)的分辨能力较强,有助于发现微小病变。
10. 定量分析:CT可以进行定量分析,如测量病变的大小、密度等,有助于评估病情和治疗效果。
总之,CT检查在医学诊断中具有广泛的应用,其高分辨率、多平面重建、三维成像等优势使其成为许多疾病诊断的重要手段。然而,CT检查也有其局限性,如辐射剂量相对较高、对某些病变的特异性较差等。因此,在选择检查方法时,应根据患者的具体情况和检查目的进行综合考虑。
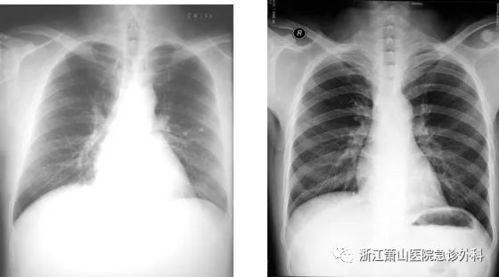
CT扫描相较于X线的显著优势

随着医疗技术的不断发展,CT(计算机断层扫描)技术在临床诊断中的应用越来越广泛。相较于传统的X光检查,CT扫描在图像质量、诊断准确性和安全性等方面具有显著优势。
高清晰度、高分辨率图像

CT扫描通过精确的X射线束对人体进行扫描,能够获得高清晰度、高分辨率的图像。这些图像可以清晰地显示人体内部的器官和组织结构,对于诊断疾病具有重要意义。与X光相比,CT图像的分辨率更高,能够更准确地识别病变。
卓越的密度分辨率

CT扫描具有卓越的密度分辨率,能够区分不同组织之间的密度差异。这对于诊断骨骼、软组织、血管等部位的病变具有重要意义。在X光检查中,由于密度分辨率较低,一些细微的病变可能无法被发现。
多平面重建技术

CT扫描可以通过计算机软件对图像进行处理,实现多平面重建。这意味着医生可以从不同的角度观察病变,从而更全面地了解病情。与X光相比,CT的多平面重建技术为诊断提供了更多可能性。
定量分析能力

CT扫描具有定量分析能力,可以准确测量各组织的X射线吸收衰减值。这对于评估病变的大小、形态和性质具有重要意义。在X光检查中,由于缺乏定量分析能力,医生难以准确评估病变。
辐射剂量较低

虽然CT扫描也涉及辐射,但相较于X光检查,CT的辐射剂量更低。现代CT设备采用了多种技术来降低辐射剂量,如自动曝光控制、低剂量扫描等。这使得CT扫描在保证诊断准确性的同时,最大限度地降低了辐射风险。
广泛适用于各种疾病诊断

CT扫描适用于各种疾病的诊断,如神经系统、心血管系统、呼吸系统、消化系统、泌尿系统等。在X光检查中,由于图像质量有限,一些疾病的诊断可能存在困难。而CT扫描可以提供更全面、准确的诊断信息。
快速便捷的检查过程

CT扫描具有快速便捷的特点,患者可以在短时间内完成检查。与X光检查相比,CT扫描的检查时间更短,患者体验更舒适。这使得CT扫描在临床诊断中具有更高的效率。
综上所述,CT扫描相较于X光检查具有以下显著优势:高清晰度、高分辨率图像、卓越的密度分辨率、多平面重建技术、定量分析能力、较低的辐射剂量、广泛适用于各种疾病诊断以及快速便捷的检查过程。这些优势使得CT扫描成为现代医学诊断的重要手段。

